On-Line Ophthalmology Teaching: Introduction

     Dr John Grigg
     Dr Con Petsoglou
     Dr Kathy McClellan
     Prof Frank Billson
 

The Discipline of Ophthalmology Sydney Eye Hospital Campus together with the Save Sight Institute has constructed this resource for medical students at Sydney University.

The aim of this ophthalmology teaching program is for the student to understand the common causes of blindness in our community; the common causes of acute visual loss; the causes of a red eye. In addition we would hope that you will be able to gain an understanding of eye disease not only in Australia but also in our region.  

The most common causes of blindness in Australia are:  

Age related macular degeneration
 


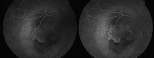
    Fluorescein angiogram showing choroidal neovascularisation the "wet" form of age related macular degeneration

 
Glaucoma
 
 
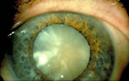
Cataract
 
 
Diabetes
 
 
Myopia
 

    Myopic fundus: note the peripapillary atrophy and thin retina
    (choroidal vessels more easily seen)