|
GLAUCOMA
John Grigg
Senior Lecturer
Department of Ophthalmology, University of Sydney
johng@eye.usyd.edu.au
|
| Primary Open Angle Glaucoma in Australia |
|
| Diagnosis |
- Glaucoma is the commonest optic neuropathy
- Diagnosis is made when there is characteristic visual field changes which match the optic disc changes
- The intraocular pressure may be elevated or normal
|
| Glaucoma in Australia |
- Incidence 135,000
- Prevalence 2.9%
|
| Prevalence of Open Angle Glaucoma in Australia: The Blue Mountains Eye Study |
Observed prevalence compared to expected age prevalence
|
| Glaucoma - Groups at Risk |
- Elderly
- Black race
- Immediate relatives
- Myopic (nearsighted) patients
- Diabetic or hypertensive patients
|
| Intraocular Pressure - What is it? |
- The vertebrate eye is a fluid filled spheroid having a flexible and partially elastic wall
- maintenance of a stable shape is necessary for optical performance
- IOP = tissue pressure of intraocular contents
- IOP is maintained in a narrow range by aqueous production matching outflow
|
| Diagnosis - Intraocular Pressure |
|
| IOP measurement |
|
|
| IOP measurement |
Schiotz indentation tonometry
|
| Prevalence of Open Angle Glaucoma in Australia:
Blue Mountains Eye Study |
Distribution of IOP
|
| Why 21 is considered normal |
|
| Why is 21 considered "normal"? |
- 21 mmHg used as screening pressure not "abnormal" but damage much greater at pressures higher than 21
- chosen because it made search for glaucoma damage more efficient
|
| Role of IOP |
- Ocular hypertension
- high IOP associated with damage
- "Normal tension" glaucoma
- "normal" IOP associated with damage
|
| Does IOP Cause Damage? |
- Damage
- common with increased IOP
- usually in eye with increased IOP
- asymmetrical IOP
- eg trauma
- truly "low" IOP rare with glaucomatous damage
|
| Prevalence of Open Angle Glaucoma in Australia: Blue Mountains Eye Study |
Prevalence of glaucoma at each IOP level
|
| IOP and Optic Nerve Damage |
- Dose response relationship
- IOP 16-19
• risk > 2 times
- IOP > 23
• risk > 10 times
|
| Baltimore Eye Study - Prevalence of POAG in relation to screening IOP |
|
| Why Damage with "Low" IOP ? |
- In population IOP < 22 mmHg is More common than IOP > 22 mmHg
- risk of glaucoma with IOP <22 is approx 1/6 of patients with IOP >22 (2.8 compared to 12.8 see Baltimore Eye study table)
- however, 20 times more people have IOP <22 therefore, adjusted risk of glaucoma is 1:1
- 50% with glaucomatous damage have "normal" IOP
|
| IOP and Optic Nerve Damage |
- IOP
- Is associated with nerve damage
- Is a risk factor for nerve damage
- IOP is a causal risk factor
|
| Glaucoma and Myopia |
- Myopia is associated with POAG
- Myopia is a risk factor for POAG
- It is not a causal risk factor
|
| Normal Aqueous Flow |
|
| Anterior Chamber Angle Anatomy |
- Normal aqueous pathway
- Presumed alteration in flow in open angle glaucoma
|

|
|
| Epidemiology |
- POAG in caucasians prevalence overall 1.7 - 2.1%,
- 0.5 - 1.0% age 40,
- rising to 4% age 70,
- 6% age 80 in whites,
- 12% age 70 in blacks
- In black populations higher incidence age 30-40 (4% St Lucia)
- Comparatively most angle closure in Chinese/Eskimo races
- 50% glaucoma in a community is undiagnosed
|
| Natural History |
- Many patients never have functional visual loss
- but it can lead to blindness
- responsible approximately 11% Australian and UK blind registrations
|
| Risk Factors |
- Raised intraocular pressures
- "Normal" population mean 15.5 mmHg
- Race - Afrocaribbean, African,
- Positive family history particularly in siblings
- Myopia
- ? Diabetes ? Hypertension
- Migraine/vasospasm for NTG
|
| Diagnosis |
- Glaucoma is the commonest optic neuropathy
- Diagnosis is made when there is characteristic visual field changes which match the optic disc changes
- The intraocular pressure may be elevated or normal
|
| Typical visual field changes |
- generalised depression of field
- localised nerve fibre bundle defects/paracentral changes
- typical arcuate scotomata
- nasal step (central or peripheral), temporal sector defect
|
| Visual Fields |
- advanced constriction (central and temporal island only)
- Not enlarged blind spot - as due to peripapillary atrophy
- In normal tension glaucoma field defects may be closer to fixation and steeper edge scotomas
- Defects often in superior field first
|
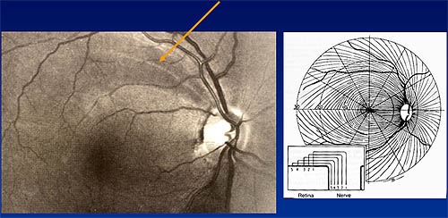
| Nerve fibre layer arrangement |
|
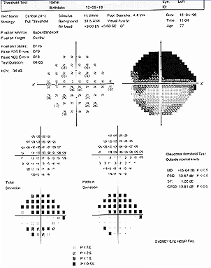
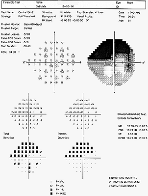
| Left Superior arcuate scotoma |
|
| Right Superior arcuate scotoma |
|
| Right superior hemifield loss and inferior arcuate |
|
| Kinetic Perimetry |
Goldmann field
|
| Homonymous hemianopia |
|
| Humphrey Field - Left Eye |
|
| Humphrey Field - Right Eye |
|
| Left Homonymous hemianopia |
|
| Optic disc assessment |
- Jonas - characteristic configuration of horizontally oval cup in vertically oval disc is normal.
- Rim with width greatest inferior > superior > nasal > temporal (ISNT rule)
- If not ? Glaucoma
- Vertically oval cup
- Concentric enlargement of cup - if increase over time diagnostic
|
| Pathological optic disc changes |
- Asymmetry of cups in both eyes > 0.2
- Focal loss of neuroretinal rim /notch / acquired pit
- Changes in vessels on optic disc: nasalisation, bayoneting, flyover vessels, focal narrowing of vessels, disc haemorrhage
|
| Pathological optic disc changes |
- Peripapillary atrophy:
- Beta atrophy : increased in glaucoma, particularly where most neuroretinal rim loss
- Nerve fibre layer changes:
- grooves, wedge defects, diffuse loss
|
| Detecting progression |
- Disc changes may not be objective unless automated
- (new technology, eg. Heidelberg Retinal Tomograph, Nerve Fibre Layer Analyser)
- Visual field progression:
- probability plots, mean deviation, pattern deviation, statpac (Beware short-term fluctuation)
- Progressor
- Objective perimetry: Accumap
|
| Optic nerve cross section |
|
| Cup/disc ratio 0.5 |
|
| Cup/disc ratio 0.5 - other examples |
|
| Optic disc crescent |
|
| Disc margin haemorrhage - Cup/disc ratio 0.9 |
|
| Cup/disc ratio 0.85 |
|
| Cup/disc ratio 0.9 |
|
| Cup/disc ratio 0.8 |
Superior disc margin Haemorrhage
|
| Pathology of Optic Disc in Glaucoma |
|
| Red Free photo showing nerve fibre defects |
|
| Cup/disc ratio 0.9 - exposure lamina cribrosa |
|
| Prevalence of Open Angle Glaucoma in Australia: Blue Mountains Eye Study |
|
Glaucoma Management |
|
|
| How do you approach raised IOP ? |
- repeat IOP measurement
- Gonioscopy
- diurnal variation of IOP
- secondary glaucoma
|
| Diseases to Screen |
- asymptomatic period
- good screening test
- test acceptable
- treatment available
- cost effective
|
| Screening in Australia |
- By general practitioner or optometrist.
- Recommendations:
- test IOP over 40 years of age, visual fields and disc examinations
- IOP tested by Goldmann applanation tonometry / Non-contact tonometry or Tonopen
- Optic disc assessment with stereoscopic lens at slit lamp
- Perimetry
|
| IOP for Screening |
- What level of IOP to use as cut off?
- 40 mmHG
- all will have glaucoma
- however, most will be missed
- valid clinical sign
- not necessarily a good screening test
|
| Treatment Aims in POAG |
- IOP is main causative risk currently known
- treatment aims to lower IOP
- select a target IOP which is safe for the individual's optic nerve
|
| Treatment Concepts |
- Issues when not to treat
- non-compliant
- socio-economic
- Distance
- follow-up
- ? established glaucoma
|
| Treatment Concepts |
Maximum medical treatment =
- minimum strength and number of drugs (within the combination) to achieve maximum reduction of IOP
|
| How to Select Target IOP |
- Estimate risk of damage
- Aim for target pressure not "normal" IOP
- existing optic disc damage
- existing visual field damage
- current baseline IOPs
- glaucoma risk factors (FHx, myopia etc)
|
| How to Initiate Therapy |
- which agent to choose
- what concentration to choose
- unilateral vs bilateral
- how to instill drops
|
| After diagnosis |
- Ocular hypertension/ POAG/Chronic ACG/Secondary glaucoma
- Reduce intraocular pressure to target
- Medical management initially
- Monitor optic disc and field for progression
- No progression continue Rx
- If progression set lower target
• May need other intervention
|
| Ocular Hypertension |
- Statistical definition
- Not all develop glaucoma
- Higher IOP more likely to progress
- Treat generally over 30 mm Hg
|
| Management |
- Medical
- Topical drops
- systemic medications
- Laser
- Argon Laser Trabeculoplasty
- Cyclodiode : Ciliary body ablation
- Surgery
- Trabeculectomy
- Non-penetrating surgery
- Drainage tubes
|
Medical Treatment |
|
|
| Topical Drop Instillation |
- high concentration of drug in one drop
- avoid systemic side effects
- punctal occlusion
- no blinking
- use only one drop
|
| Medical |
- Beta-blockers
- Timolol, Betaxolol, Carteolol, Levobunolol
- Alpha-agonists
- Brimonidine
- Carbonic anhydrase inhibitors
- Dorzolamide, Brinzolamide
- Prostaglandin analogues
- Latanoprost, Travaprost, Bimatoprost
- Cholinergic agents
- Pilocarpine
- Osmotic agents
- Mannitol, Glycerol
|
|
Mechanisms of action
- Reduce aqueous production
- Increase trabecular outflow
- Increase uveo-scleral outflow
|
|
| Prostaglandin Analogues |
- Action
- Increases uveoscleral outflow via prostaglandin receptors in angle and ciliary muscle.
- Alters ground substance in ciliary body
- Agents
- Latanoprost (Xalatan) Nocte
- Travaprost (Travatan) Nocte
- Bimatoprost (Lumigan) Nocte
- Side Effects
- Increased iris pigmentation in hazel eyes
- Increased lash growth and pigmentation
- Possibility uveitis
- Cystoid macular oedema - aphakia
- No systemic side effects
|
| Beta Blockers |
- Action
- Beta 2 mediated binding to nonpigmented ciliary epithelium, changes intracellular adenylate cyclase activity and CAMP production which reduces aqueous production
- Agents (all used topically)
- Timolol 0.25%, 0.5% (bd)
- Betaxolol 0.25%, 0.5% (Beta 1 selective) (bd)
- Levobunolol 0.25%, 0.5% (bd)
- Side effects
- significant systemic absorption
- broncho-constriction, bradycardia, CNS effects
|
| Adrenergic Compounds - alpha 1 |
- Action
- initial vasoconstriction of ciliary blood vessels (alpha 1 mediated). Longterm by increased facility of outflow via both conventional and uveoscleral pathways
- Agents
- Dipivefrine (propine) 0.1% (bd)
• pro-drug absorbed by cornea and converted into active drug (adrenaline) by corneal esterases
- Side effects
- Local: red eye due to blepharoconjunctivitis, or follicular conjunctivitis
- Systemic: rarely seen (hypertension, angina)
|
| Adrenergic Compounds - alpha 2 |
- Action
- initial vasoconstriction of ciliary blood vessels. Longterm by increased facility of outflow via both conventional and uveoscleral pathways
- Agents
- Brimonidine (Alphagan)
- Apraclonidine (Iopidine)
• Tachyphalaxis after 6 weeks use
• Uses: Post laser IOP spikes
- Side effects
- Local: red eye due to blepharoconjunctivitis, or follicular conjunctivitis
- Systemic: Sedation in children Dry mouth, Headache,Fatigue, Palpitations
|
| Cholinergic Agents |
- Action
- contract ciliary muscle opening the trabecular meshwork and increasing facility of outflow
- Direct acting - parasympathomimetic agents
- Pilocarpine 0.5%, 1%, 2%, 4%, 6% (qid)
- Carbachol 1.5%, 3% 9 (tds)
- Indirect acting - cholinesterase inhibitors
- Phospholine iodide 0.03%, 0.06%, 0.125%, 0.25% (bd)
- Side effects
- Local: redness and stinging, toxic papillary conjunctivitis, miosis, headaches
- Systemic: bradycardia, flushing
|
| Carbonic Anhydrase Inhibitors |
- Action
- suppress aqueous production by inhibition of carbonic anhydrase in ciliary epithelium
- Agents (oral or IVI, topical agent being released)
- Diamox (acetazolamide) 250 mg up to qid
- Darinide (dichlorphenamide) 50 mg up to tds
- Side effects
- Paraesthesias
- Malaise
- Metabolic acidosis
- Hypokalemia
- Gastrointestinal upset
- Renal stones
- Sulphur compound therefore check allergy status
|
| Topical Carbonic Anhydrase Inhibitors |
- Action
- suppress aqueous production by inhibition of carbonic anhydrase in ciliary epithelium
- Agents
- Dorzolamide (Trusopt) bd to tds dose
- Brinzolamide (Azopt) bd
- Side effects
- Minimal systemic side effects
|
| Combination Agents |
- Timpilo
- Timolol 0.5% with pilocarpine 2% or 4%
- Cosopt
- Timolol 0.5% with dorzolamide
- Xalacom
- Timolol 0.5% with latanoprost
|
| Osmotic Agents |
- Action
- provide osmotic gradient to "suck" fluid out of vitreous and ciliary body to acutely lower IOP
- Side effects
- Agents (IVI or orally)
- Mannitol 20% solution, 1-2 g/Kg IVI over 20 mins (2.5 -7 mls/kg of 20% solution)
- Glycerol 50% solution orally 1-2 g/kg (approx 80 -100 mls)
- Side effects
- CCF, pulmonary oedema, headache, confusion, nausea/vomiting, diuresis
|
|
|
Laser therapy in Glaucoma |
|
|
| Laser Trabeculoplasty |
- Initially used to induce glaucoma in animal models
- Treat trabecular meshwork 180-360 degrees
- More effective on pigmented meshwork
- Pigment dispersion/pseudoexfoliation/elderly
- Increases outflow
- Opens channels in meshwork and alter cell profile
|
| Laser Trabeculoplasty |
|
| Argon Laser Trabeculoplasty |
- More frequently used in Australia /USA than UK
- Long term escape
- 50% fail at 5 years
- Side effects
- IOP spike, uveitis, haemorrhage, corneal burns, pain, PAS
- Can lower IOP 30%
|
| Ciliary Body Ablation |
- Treat ciliary body through sclera
- Requires local anaesthetic block
- Used in refractory glaucoma
- Lowers IOP mean 50%
- Requires retreatment in 2/3 over 18 months
- Side effects
- Hypotony, uveitis, reduced VA, conjunctival burn
|
| Ciliary Body Ablation |
|
Glaucoma Surgery |
|
|
| Surgery |
- Trabeculectomy
- Enhanced with anti-metabolites
• 5 Fluouracil, Mitomycin C, Strontium 90
- Non-penetrating
- Viscocanalostomy/deep sclerectomy
- Drainage tubes
- Molteno/Ahmed/Baerveldt
|
| Trabeculectomy |
- Raises drainage bleb under upper lid
- Conjunctival flap
- Superficial scleral flap
- Deep fistula to anterior chamber
- Peripheral iridectomy
- Scleral flap sutured
- Conjunctival flap closed
|
|
|
| Application antimetabolite |
- Antimetabolite application
- 5 Fluouracil
- Mitomycin C
- Conjunctival clamp to minimise damage to edge aiming to reduce chance wound leak
|
|
|
| Trabeculectomy technique |
|
| Trabeculectomy: Peripheral Iridectomy Prevents iris blocking ostium |
|
| Releasable sutures |
|
| Trabeculectomy technique |
|
| Trabeculectomy outcome |
- Success up to 90% but some long-term failure
- Mean IOP achieved 17 mm Hg
|
| Trabeculectomy |
- Recent changes
- Size of surgical site
- Releasable sutures/argon laser suture-lysis
- Enhanced with antimetabolites where risk of failure
• Youth, previous surgery, AfroCarribean, topical medications, rubeosis, uveitis, diabetes etc
|
| Trabeculectomy Risks |
- Suprachoroidal haemorrhage
- Endophthalmitis
- Malignant glaucoma
- Hyphaema
- Altered refraction and accomodation
- Over-drainage - flat anterior chamber, choroidal effusion, cataract, PAS
- Under-drainage - Fibrosis, failure (10-20% 1 yr)
|
|
|
| Drainage Tubes |
- Usually if Trabeculectomy fails
- Tube into anterior chamber, plate at equator
- Success up to 80% at 3 years
- Complications more severe than trabeculectomy
- Particularly in children
- Can obstruct or erode and be exposed
|
| Drainage Tubes |
|
| Other Assessments |
- Normal Tension Glaucoma
- 24 hour ambulatory Bp monitoring
- Treatment vasospasm ? Ca channel blockers
- Carotid artery investigation
- Cardiology opinion
- Exclude intracranial pathology
- CT Scan if disc and field don't fit
|
| Why Do Patients Go Blind? |
- Late presentation
- Advanced disease
- Young at presentation
- Inadequate treatment
- Poor compliance
|
| Patient Education |
- Compliance
- Side effects medications
- Holistic approach
- Lifelong condition
- Establish partnership
|
| Angle Closure Glaucoma |
- Severe ocular pain
- Decreased vision
- Halos around lights
- Headache, nausea and/or vomiting
- Abdominal pain
|
|
|
| Acute glaucoma - Potential causes |
- Physical or emotional stress
- Natural dilatation of the pupil
- Dilating eye drops
|
|
|
|
| Angle closure glaucoma |
|
| Angle Closure Glaucoma Sequelae |
|
| Immediate medical therapy for symptomatic primary angle closure |
|
| Peripheral Iridotomy Angle Closure Glaucoma |
Laser iridotomy is the definitive method of managing PAC due to pupil-block, the major mechanism in 85-90% of cases
|
| Secondary glaucomas |
- SECONDARY OPEN ANGLE GLAUCOMAS
- Outflow resistance pre-trabecular
• Epithelialisation of the chamber angle
• Endothelialisation of the chamber angle (early ICE-Syndrome)
• Neovascular glaucoma stage 2
- Outflow resistance trabecular
• Pigmentary glaucoma
• Capsular glaucoma
• Steroid induced glaucoma
• Inflammatory glaucoma
• Phacolitic glaucoma
• Posner-Schlossman-Syndrome
• Heterochromie cyclitis Fuchs
• Ghost-cell-Glaucoma
• Haemolytic Glaucoma (after anterior chamber bleeding)
• Neurofibromatosis
• Siderosis
• Posttraumatic glaucoma with angle recession
- Outflow resistance post-trabecular
• Episcleral Glaucoma (Sturge-Weber-Syndrome; arteriovenous fistulas, idiopathic)
|
| Secondary glaucomas with narrow angle |
- Anterior type: outflow resistance in chamber angle
• Neovascular glaucoma stage 3
• Glaucoma in progressed Irido-Corneo-Endothelial-Syndrome (ICE-Syndrome)
- Posterior type with pupillary block and vitreociliary block mechanism
• Glaucoma with pupillary block due to synechias
• Dislocation of the lens, traumatic
• Microspherophakia in Weill-Marchesani-Syndrome (Ectopia lentis); Cataracta intumescens
• Iridoschisis
- Posterior type with anterior displacement of Iris-Lens-Diaphragm
• Glaucoma in association with choroidal bleeding, oedema of ciliary body, ciliary body cysts, tumors (malignant melanoma, leiomyoma);
• Gaucoma associated with contraction of retrolental tissue (persistent hyperplasic primary vitreous PHPV; premature retinopathy)
|
| Secondary glaucoma - Sturge Weber syndrome |
|
| Secondary glaucoma - Neovascularisation |
|
| Congenital Glaucoma |
- Incidence 1: 10,000 births
- Suspicion of congenital glaucoma requires immediate referral to an ophthalmologist
|
| Congenital Glaucoma |
- Photophobia
- Tearing
- Buphthalmous (large eye)
|
|
|
|
|
| Congenital Glaucoma Management |
|
|
- Referral to Ophthalmologist
- EUA
- IOP measurement
- Corneal diameter
- Refraction
- Optic disc assessment
- Surgical Management
- Goniotomy
- trabeculotomy
|
|
| Primary infantile glaucoma - Surgical options |
|